We offer a wide range of dental services, including preventive care, restorative treatments, and cosmetic procedures. Whether you need a routine cleaning or a full smile makeover, we have the expertise and technology to help you achieve your goals. We use the iTero scanning systems to produce the world's fastest and most accurate 3D digital models of your mouth. This provides our patients real time visualization so we can diagnose and treatment plan together.
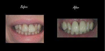
Transform your smile with our comprehensive cosmetic dentistry services. We offer a range of treatments, from veneers and bonding to crowns and contouring, all tailored to enhance your unique smile. Brighten your teeth with our professional whitening options for fast and effective results.
In addition to cosmetic procedures, we provide a wide range of dental services, including preventive care and restorative treatments. Whether you need a routine cleaning or a full smile makeover, our expertise and advanced technology are here to help you achieve your goals and maintain optimal dental health.expertise and technology to help you achieve your goals.

Achieve a straighter smile discreetly with Invisalign. This innovative treatment uses clear, custom-made aligners to gradually shift your teeth into their ideal positions. Unlike traditional braces, Invisalign aligners are removable and nearly invisible, making them a convenient and comfortable option for both teens and adults.
Each set of aligners is designed to apply gentle pressure on specific teeth, and you'll receive a new set approximately every two weeks as your teeth progressively move. Our team will work closely with you to create a personalized treatment plan, ensuring you achieve the smile you've always wanted with minimal impact on your daily life.

You likely have a solid oral hygiene routine, including brushing, flossing, and regular dental cleanings. However, for many adults, this may not be enough to prevent issues like bad breath, gum disease, or other health problems.
To address deeper issues below the gum line, consider using custom trays with a patented seal that delivers bacteria-fighting hydrogen peroxide where your toothbrush can’t reach. This non-invasive treatment helps clear gum infections, reduces bleeding, and can even improve overall health by preventing pathogens from entering your bloodstream.
Additionally, this method brightens teeth and freshens breath. Keep up with your brushing routine, and enhance your care with this effective, at-home treatment.
.jpg/:/cr=t:0%25,l:16.66%25,w:66.68%25,h:100%25/rs=w:600,h:600,cg:true)
Dental implants are a durable and natural-looking solution for replacing missing teeth. This procedure involves placing a titanium post into the jawbone, which acts as a root for a custom-made crown. Implants provide a stable foundation that mimics the function and appearance of natural teeth, improving both your smile and chewing ability. The result is a long-lasting, seamless restoration that enhances your overall oral health.

We address sleep apnea and TMJ disorders with advanced oral appliance therapy, offering a long-term solution by expanding your airway, jaws, and oral cavity. Unlike temporary fixes like CPAP and other surgical options, our custom devices promote permanent changes for improved sleep and reduced symptoms.
Oral appliance therapy benefits both children and adults, potentially preventing future orthodontic needs in children. Our personalized care is designed to enhance your overall health and well-being.
At our practice, we understand that dental emergencies can happen at any time, and we’re here to provide prompt, expert care when you need it most. Whether you're dealing with a severe toothache, a knocked-out tooth, a broken crown, or any other urgent dental issue, our emergency dental services are designed to offer quick relief and effective solutions.
Our team is equipped to handle a wide range of dental emergencies, ensuring you receive immediate attention and personalized treatment. From alleviating pain and managing trauma to restoring damaged teeth, we’re committed to addressing your needs with compassion and expertise.
If you experience a dental emergency, don’t hesitate to contact us for swift assistance and peace of mind. Your dental health is our priority, and we’re here to help you get back to feeling your best as soon as possible.
We offer oral surgery services, including:
Our techniques ensure comfort and effective results, ensuring you achieve the smile you've always wanted with minimal impact on your daily life.
Dentures are removable dental appliances designed to replace missing teeth and restore your smile. They come in two main types:
Custom-made for a comfortable fit, dentures improve chewing, speech, and overall appearance. Our team ensures your dentures are crafted to match your natural teeth and provide a secure, natural-looking solution for tooth replacement.









We use cookies to analyze website traffic and optimize your website experience. By accepting our use of cookies, your data will be aggregated with all other user data.
.jpg/:/cr=t:16.22%25,l:0%25,w:100%25,h:74.7%25/rs=w:515,h:234,cg:true)
Dolce Dental has relocated to a shiny new space at
439 Pittsfield Rd, Lenox, MA!